Dra. Marta Sánchez
Si buscas una ortodoncista en Madrid con formación específica en ortodoncia convencional y ortodoncia invisible, la Dra. Marta Sánchez ofrece tratamientos orientados a mejorar la alineación dental y el equilibrio de la mordida con un enfoque personalizado y planificado.
Su trabajo se centra en analizar cada caso con detalle para elegir el sistema de ortodoncia más adecuado según la edad del paciente, el tipo de maloclusión y los objetivos estéticos y funcionales. Como parte del equipo de GM Estudio Dental, la Dra. Marta Sánchez desarrolla tratamientos de ortodoncia que buscan resultados estables, cómodos y adaptados a cada paciente.
¿Qué hace una ortodoncista?
La ortodoncia es la especialidad de la odontología encargada de corregir la posición de los dientes y la relación entre las arcadas dentales. El trabajo de una ortodoncista no se limita a alinear la sonrisa, sino que también busca mejorar la función masticatoria, la estabilidad de la mordida y la salud bucodental general.
La Dra. Marta Sánchez, como ortodoncista en Madrid, analiza cada caso teniendo en cuenta factores como la posición de los dientes, la relación entre maxilar y mandíbula, el espacio disponible en la arcada y la edad del paciente. Este análisis permite planificar tratamientos de ortodoncia eficaces y adaptados a cada situación.
La Dra. Marta Sánchez, especialista en ortodoncia en Madrid, cuenta con una formación orientada al diagnóstico y tratamiento de alteraciones en la alineación dental y la mordida.
Formación y acreditaciones:
Licenciatura en Odontología
Universidad Rey Juan Carlos, Madrid
Máster en Ortodoncia y Ortopedia Dentofacial
Institución Mississippi, Madrid
Certificación en Invisalign®
Madrid
Miembro de la Sociedad Española de Ortodoncia (SEDO)
Miembro de la Sociedad Española de Alineadores (SEDA)
Nº de colegiado
28013896
Esta formación permite abordar tratamientos de ortodoncia tanto con sistemas tradicionales como con alineadores transparentes, seleccionando siempre la opción más adecuada según las necesidades del paciente.
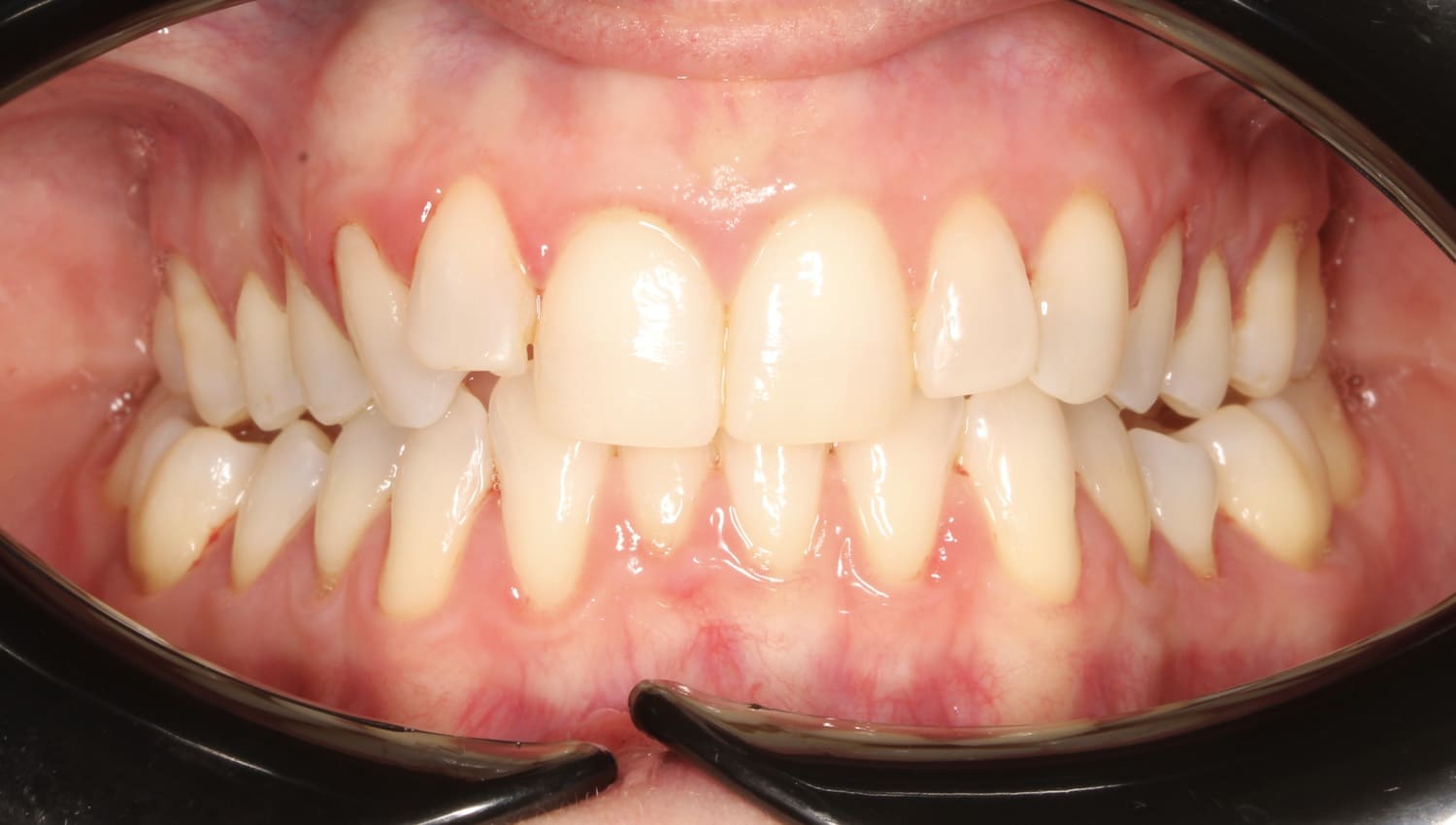
Antes de iniciar cualquier tratamiento de ortodoncia, la Dra. Marta Sánchez realiza una valoración completa que permite estudiar la posición dental, la mordida y la estructura facial del paciente. A partir de este análisis se define el plan de tratamiento más adecuado.
Entre los tratamientos de ortodoncia que aborda se encuentran:
Cada tratamiento se diseña de forma individual, buscando una correcta alineación dental y una mordida equilibrada que se mantenga estable con el tiempo.
Enfoque clínico de la Dra. Marta Sánchez en ortodoncia
El trabajo de la Dra. Marta Sánchez como ortodoncista en Madrid se basa en la planificación detallada del tratamiento y en el seguimiento continuo de la evolución de los dientes durante todo el proceso.
Este enfoque incluye:
1. Estudio inicial de la alineación dental y la mordida
2. Planificación del tratamiento de ortodoncia
3. Selección del sistema más adecuado (brackets o alineadores)
4. Controles periódicos para supervisar el movimiento dental
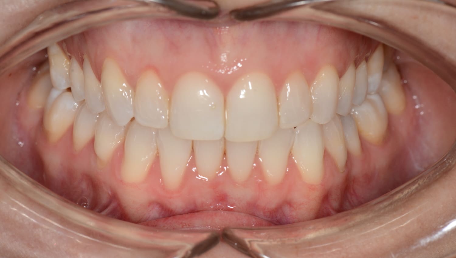
Este proceso permite que los movimientos dentales se realicen de forma progresiva y controlada, mejorando tanto la estética de la sonrisa como la función de la mordida.
La ortodoncia como mejora funcional y estética
Los tratamientos de ortodoncia no solo tienen un impacto estético, sino que también contribuyen a mejorar la salud oral y la función de la boca. Una correcta alineación dental facilita la higiene, reduce el desgaste irregular de los dientes y mejora la estabilidad de la mordida.
Por este motivo, la ortodoncia se plantea como una intervención que combina estética y salud bucodental. En muchos casos, corregir la posición de los dientes permite prevenir problemas futuros relacionados con la masticación, la articulación mandibular o la acumulación de placa bacteriana.
Este enfoque permite entender la ortodoncia como una inversión en salud oral a largo plazo, más allá de la mejora estética inmediata.


Ortodoncista Madrid con tratamientos adaptados a cada paciente
Cada tratamiento de ortodoncia requiere una planificación específica según las características de cada paciente. No todos los casos presentan las mismas necesidades ni todos los tratamientos siguen el mismo ritmo.
Como ortodoncista en Madrid, la Dra. Marta Sánchez analiza cada caso para determinar el sistema de ortodoncia más adecuado, teniendo en cuenta factores como la edad del paciente, el tipo de maloclusión, las preferencias estéticas y los objetivos del tratamiento.
Este enfoque personalizado permite desarrollar tratamientos de ortodoncia más precisos, cómodos y adaptados a la vida diaria del paciente.
La Dra. Marta Sánchez es la ortodoncista en Madrid a la que acuden pacientes que buscan un tratamiento claro, bien explicado y realizado con la tranquilidad de estar en manos de una especialista dedicada a la ortodoncia.
En GM Estudio Dental, la Dra. Sánchez acompaña cada caso con cercanía y atención al detalle, resolviendo dudas y guiando al paciente durante todo el proceso para que el tratamiento se desarrolle con confianza y seguridad.
Además, el equipo de la clínica cuida cada fase del tratamiento para que la experiencia sea cómoda y bien organizada. La comunicación con el paciente es constante, lo que permite entender cómo evoluciona el tratamiento en todo momento. Este acompañamiento cercano facilita que el proceso se viva con tranquilidad desde la primera visita.